越南党中央总书记、国家主席苏林与胡志明少年先锋队85名优秀队员会面
苏林总书记:总结工作切实服务于新时期国家发展路线和战略的制定
越南渔业多措并举 全力冲刺2026年出口额120亿美元目标
越南介绍国家原产地管理新举措 推动数字化转型与国际合作
共同描绘中越关系更加美好的未来
裴氏明怀同志继续担任第十一届越南祖国阵线中央委员会主席
越南党中央总书记、国家主席苏林会见老挝万象市委书记、市人民议会主席阿沙庞通
越南政府总理黎明兴会见中国驻越大使何炜
党中央总书记、国家主席苏林:创新集合与动员方式,发挥全民大团结力量
华文西贡解放日报
SGGP Online
SGGP Đầu tư Tài chính
SGGP Thể Thao
English Edition
中文ePaper
Tags:
#心悸
4
results
科学应对更年期身体变化
健康-饮食
28/06/2023 19:24
43岁女性抽血才知这疾病
健康-饮食
12/06/2023 16:45
內分泌失調讓你心悸、喘、睡不好!
健康-饮食
14/11/2022 17:20
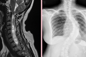
脊椎側彎小心神經損傷!
健康-饮食
12/04/2021 14:06
更多
时政
社会
法律
经济
国际
华人动态
教育
体育
科技
健康-饮食
文娱
读者-慈善
旅游
Theo dõi SGGP trên:
SGGP Online
SGGP Đầu tư Tài chính
SGGP Thể Thao
English Edition
SGGP Epaper