越南范明政总理:确保隆城国际机场按期投入运营 政府总理范明政:越南将成为科技人才和创新创业者的理想目的地 胡志明市继续援助庆和省逾580亿元克服雨洪损失 政府总理要求紧急克服灾害后果、恢复生产经营、促进消费,确保民众春节需求 胡志明市人委会主席:紧急解决租地企业“红簿”签发阻碍 政府副总理胡德福会见友邦保险集团董事长马克·塔克 越俄建交75周年:连接两个民族的“红线” 武元甲大将书籍《奠边府》阿拉伯语版正式出版 越南第十五届国会第十次会议正式闭幕 第十五届国会第十次会议:通过三大城市特定机制政策的决议 国会通过关于试行实施若干促进胡志明市发展的特殊机制、政策《决议》 党中央总书记苏林主持召开党十三大任期内反腐败反浪费反消极工作总结会议

年紀輕輕牙齒就鬆了 到底是“誰”的鍋?

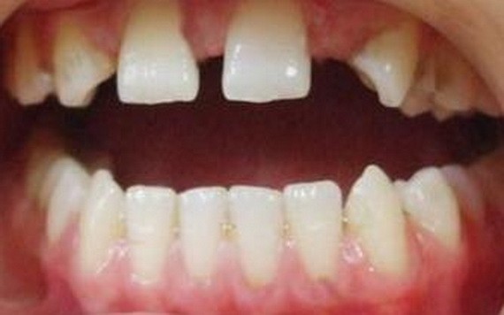
眾所周知,牙齒鬆動的原因之一是遭遇牙周炎,而牙周炎的患病人群通常以中老年人為主。因此,如果遇到青少年出現牙齒鬆動的情況,人們雖然可能猜想與牙周炎有關,但同時也可能心生疑慮───年輕人會患上牙周炎嗎?難道是牙周炎發病年齡提前了,又或者還有其他鮮為人知的原因?
(示意圖源:互聯網)
(示意圖源:互聯網)
事實上,我們平時最常提及的牙周炎是慢性牙周炎(這才是專業名稱,簡稱CP)。它的確是最常見的牙周炎(在牙周炎總體中約佔95%),但只是牙周病諸多類型中的一種。“牙周病”代表著一個龐大而複雜的體系,所以對於全面了解牙周病而言,僅僅知道CP不過是“管中窺豹,只見一斑”。
年輕人患牙周炎,有可能是這個問題

年輕人所患的牙周炎可能是侵襲性牙周炎(AgP),它包含過去牙周炎分類中的3個類型───青春前期牙周炎、快速進展性牙周炎和青少年牙周炎。其特點是好發於全身健康的年輕人,但疾病進展迅速,且有家族聚集性。
這種牙周炎並非早發的CP,而是牙周疾病中的一個特定類型。雖然它與CP有相似性,都包括局限型和廣泛型兩種類型,但兩者在病因、臨床表現和治療等多方面存在較大差異。具體表現如下:

1、病因不同

CP的主要病因是牙周致病菌,是一類細菌;而AgP的病原菌主要是伴放線聚集桿菌(Aa)。換言之,AgP致病菌指向更加明確。此外,該病發生還與患病個體的免疫狀態有關,如中性粒細胞或單核細胞趨化功能異常。

2、發病年齡不同
CP偶見於青少年和兒童,患者多為成年人,35歲以上患者患病率明顯增加;局限型AgP一般自青春期前後(11至13歲)開始發病,甚至會發生在乳牙列,而廣泛型AgP發病年齡一般在30歲以下(雖然也可見30歲以上患者)。

3、臨床表現不同
CP發病部位與牙菌斑聚集或牙結石沉積情況關係密切。牙菌斑是CP的始動因素,牙結石則是最關鍵的局部促進因素。局限型AgP病變部位牙菌斑聚集或牙結石沉積量並不大,即牙周組織破壞程度與局部刺激物的量並不成比例,這一點體現了AgP與CP的明顯區別,而廣泛型牙菌斑聚集或牙結石沉積量可能較大,也可能較少。此外,局限型AgP具有特徵性的病變牙位───第一恒磨牙或切牙,廣泛型AgP雖然定義為“累及第一恒磨牙和切牙以外至少3顆恒牙”,但事實上通常累及全口大多數牙齒。

4、治療原則不同
CP的治療以控制牙菌斑和牙結石為主要目標,通過減輕炎性刺激,可減輕疾病症狀或延緩疾病發展;AgP不僅需要做基礎治療,更需要配合抗菌藥物,如甲硝唑和阿莫西林。牙周袋越深的部位,藥物治療效果越明顯。此外,AgP患者還需要調節免疫功能等。
做好疾病控制,明確診斷是關鍵

不言而喻,局限型AgP特徵相對明顯,故該病確診相對容易,但這種類型並不常見。
廣泛型AgP雖已將“年齡為35歲以下和全口大多數牙齒的重度牙周破壞”作為診斷標準,但因可能影響牙周疾病臨床表現的因素較多,尤其是廣泛型AgP也可見於35歲以上人群,因此要確診該病必須排除一些局部或全身因素,這些因素包括:

1、嚴重的咬合創傷
咬合創傷本身是CP的局部促進因素,可加重疾病症狀。

2、不正規的牙齒矯治或牙齒矯治前存在的牙周炎
對牙周組織健康的人進行正規牙齒矯治,並不會給牙周組織造成創傷。但如果牙齒矯治技術存在問題,或者接受矯治的對象存在沒有得到有效控制的牙周炎,那麼矯治本身就是破壞牙周健康的“始作俑者”或加重牙周疾病的“幫兇”。

3、局部不利因素
這些因素包括鄰面齲、不良修復體等,它們同樣是CP的局部促進因素,可以促進牙菌斑堆積並加重牙齦炎症,因此都可能加重疾病症狀。

4、全身不利因素
這些因素包括糖尿病、HIV感染等。
在上述因素存在的情況下,患者發生重度牙周破壞的原因未必是廣泛型AgP,也有可能是CP。

年輕人一旦患上牙周炎,確實要當心AgP發生。畢竟AgP進展迅速,對牙周組織的破壞力較強,很可能讓年輕人的牙齒過早地出現鬆動甚至脫落。早發現和早治療是控制疾病發展的關鍵。但大家也不必“草木皆兵”,年輕人是否遭遇了AgP是需要在專業正規醫院予以詳盡檢查後才能最終確診的。只有儘早明確診斷,才能做到有的放矢◆

相关阅读