政府总理范明政感谢全国人民过去五年对政府的支持 绿色能源为资本市场创造发展空间 莲沼港—拓展岘港海洋经济发展空间的重要门户 范明政总理会见科威特驻越大使尤瑟夫 胡志明市预计第二季度增长约达逾11% 政府总理范明政:国际融入必须紧密服务国家发展目标 越南各位党和国家领导人及高级干部荣获荣誉勋章 助力越南企业实现两位数增长目标 提议在守添建设99层摩天大楼 胡志明市市委书记陈留光:本市将免费搭乘巴士

男子因爆竹爆炸导致双手严重受伤

〔本报消息〕今(31)日上午(即大年初三),广南省区域综合医院副院长武托医生表示,该医院正在治疗一名因爆竹爆炸事故而入院的男性患者。该患者33岁,住在广南省奠盘市社奠寿乡,于1月29日(即大年初一)下午入院,身上多处受伤流血。面部右侧、胸部、左大腿、左腹部有烧伤,且有两处伤口内有异物。

患者双手因爆竹爆炸受伤。(图:院方提供)
患者双手因爆竹爆炸受伤。(图:院方提供)

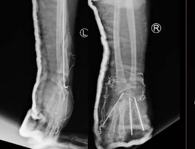
特别是,患者的双手受伤非常严重,右手几乎被炸毁,左手中间有一道纵向裂口,爆炸力导致桡骨骨折。手骨错位,肌腱、肌肉、神经和血管几乎全部从腕管和手掌中脱出。患者立即被医院会诊并转入急诊手术。经过6小时的手术,输了2个单位血液,在麻醉、创伤骨科和综合外科团队的参与抢救下,患者的损伤得到妥善处理。目前,患者情况稳定,继续在创伤骨科进行积极的监测和治疗。

hinh 2 tai-nan-phao-no-2.jpg
术后的左手和右手的X光片。(图:院方提供)

据广南省区域综合医院副院长武托医生介绍,这是春节期间使用自制爆竹娱乐而导致的严重事故之一,可能会危及生命。

相关阅读